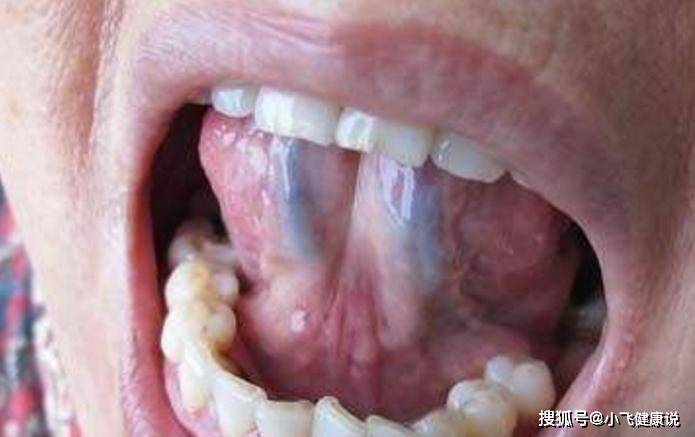
中醫治病追尋「望、聞、問、切」,其中的每一個環節都能夠看出我們身體的內在症狀,今天小編給各位朋友們來介紹的是觀察舌頭看我們身體是否存在隱疾。由於舌頭下面有青筋存在,這些青筋也就是我們的靜脈血管,一旦身體有一些不適症狀出現時,舌底下的青筋會有一些預兆,所以各位朋友們在平時照鏡子的時候可以細心觀察一下。下面不妨隨小編一起來了解一下,當青筋發生哪些變化時預示著身體有症狀存在呢。

舌底「青筋」的變化,可能預示著3個「症狀」的出現,但願你沒有!
1、青筋凸起—血壓高
正常情況下,當我們身體沒有其他不適症狀出現時,舌底的靜脈血管是比較平緩的,沒有突出情況。一旦這些青筋凸起,這可能是由於體內的靜脈存在問題,尤其是當血壓升高時,會出現青筋凸起的狀況。其次,一旦有冠狀動脈受到阻塞,青筋也會呈現突起狀態。

2、青筋發紫—濕氣重
尤其是對於大多數女性朋友來說,體內濕氣過重時,不僅會出現長斑長痘的情況,而且還會影響月經的正常到來。其次,在平時可以觀察舌底下的靜脈血管,一旦出現發紫的現象時,也可能是體內濕氣過重導致的,並且還可能伴隨有大便稀薄,頭暈眼花等症狀,所以一經發現不妨及時調理身體。
展開全文

3、青筋發紅—熱氣大
根據我們血液的變化,靜脈血管的顏色正常情況下是發青的,所以我們才將它稱為青筋。若是靜脈血管的顏色呈現發紅的狀態時,可能是由於體內熱氣過重導致的,而且還會出現面色發紅,出虛汗等不適症狀。此外,一旦出現這種情況時,一定要及時給我們的身體補充足夠的水分,而且做到飲食清淡,一些辛辣刺激的食物還是不要吃得好。

各位朋友們在平時照鏡子的時候,不妨伸出舌頭觀察一下舌底的青筋,可以幫助我們及時了解身體的健康狀況。但是在觀察的時候注意做到這幾點:首先,剛喝完一些有色素的飲料時舌頭可能會染上顏色,所以影響判斷;其次,早上起床後血液循環比較緩慢,舌頭狀態本身就比較差,所以不要在這個時間觀察。希望這篇文章能夠幫助到各位朋友們通過舌頭的變化來預知自己的身體狀況,若是您還知曉舌苔能反映出來的其他現象,不妨在下方評論區留言,希望可以幫助到更多的人,最後感謝您的閱讀和分享。
作筆記是好習慣,給你新想法